Facebook
Twitter
Instagram
Linkedin
Pinterest
Email: info@simateb.com
پزشکان
واحد بیماران بین الملل
واحد IPD
رضایتسنجی
انتقادات و پیشنهادات
پرسشنامه رضایتسنجی
درباره ما
درباره ما
تماس با ما
فارسی
English
العربية
(
Arabic
)
صفحه اصلی
خدمات ما
لیزرهای پوست و مو
انواع جراحی
تزریق انواع ژل و بوتاکس
اقدامات تشخیصی بیماریهای پوستی
سوالات متداول
تیم مدیریت
معرفی مدیران
تجهیزات و تصاویر
تجهیزات
گالری تصاویر
نوبت دهی تعرفه و خدمات
نوبت دهی اینترنتی
تعرفه خدمات
ارسال مدارک پزشکی
جستجو
خانه
درباره ما
خدمات
انواع لیزرهای پوست، مو و زیبایی
انواع جراحی
تزریق انواع ژل و بوتاکس
اقدامات تشخیصی بیماریهای پوستی
تعرفه خدمات
بیماران بیماران الملل
واحد IPD
نوبت دهی اینترنتی
ارسال مدارک پزشکی
جستجو
تجهیزات
پزشکان
تعرفه خدمات
گالری تصاویر
تماس با ما
تماس با ما
سوالات متداول
پرسشنامه رضایتسنجی
انتقادات و پیشنهادات
معرفی مدیران
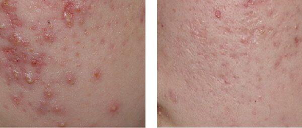
عمل های انجام شده با SPECTRA
_
Instagram:@simateb
Instagram:@simateb